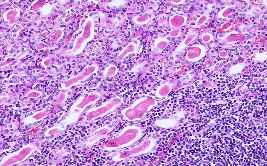
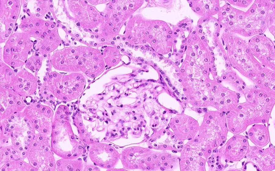
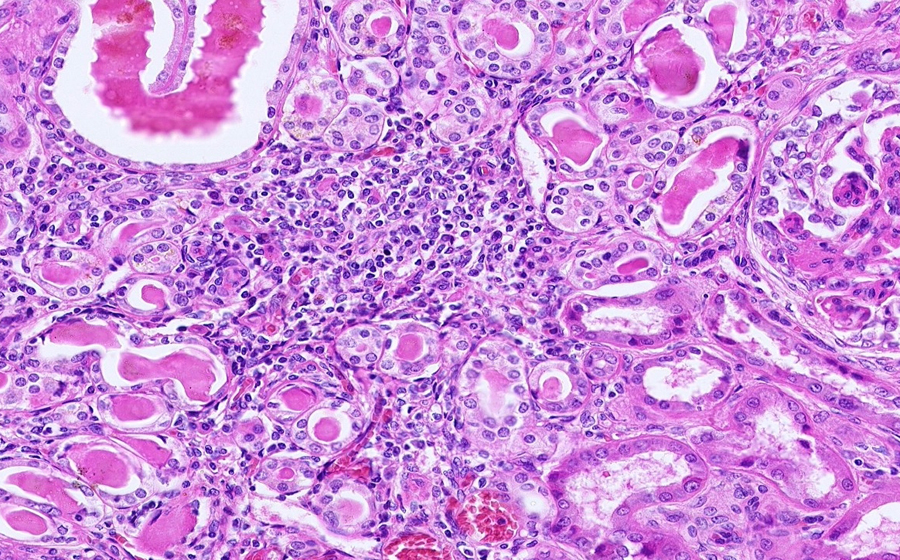
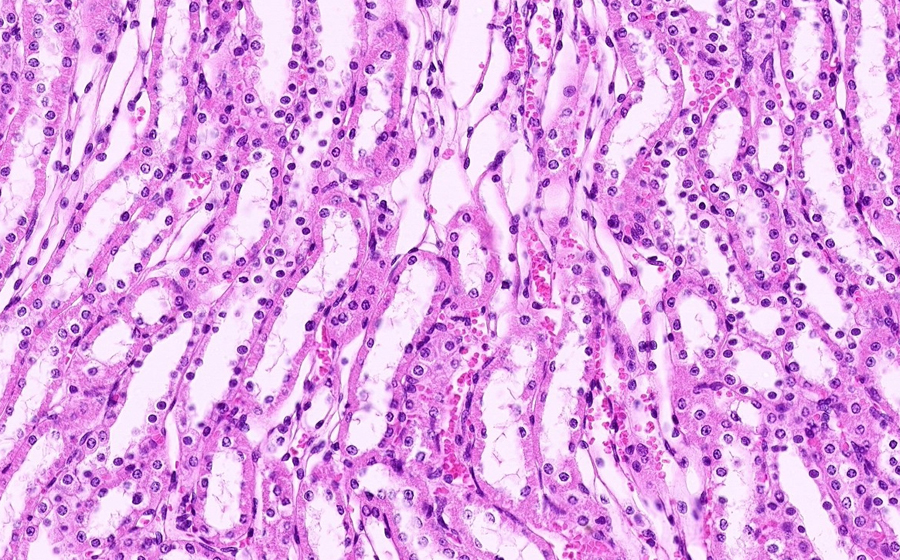
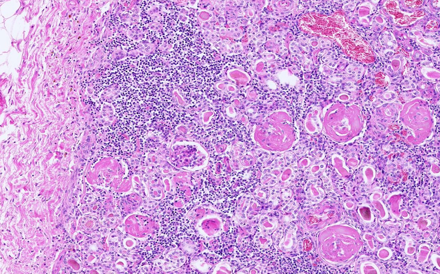
Slide 3: Glomerulonephritis - chronic

Histologic section of kidney from a patient with chronic glomerulonephritis. (click here to review normal tissue)

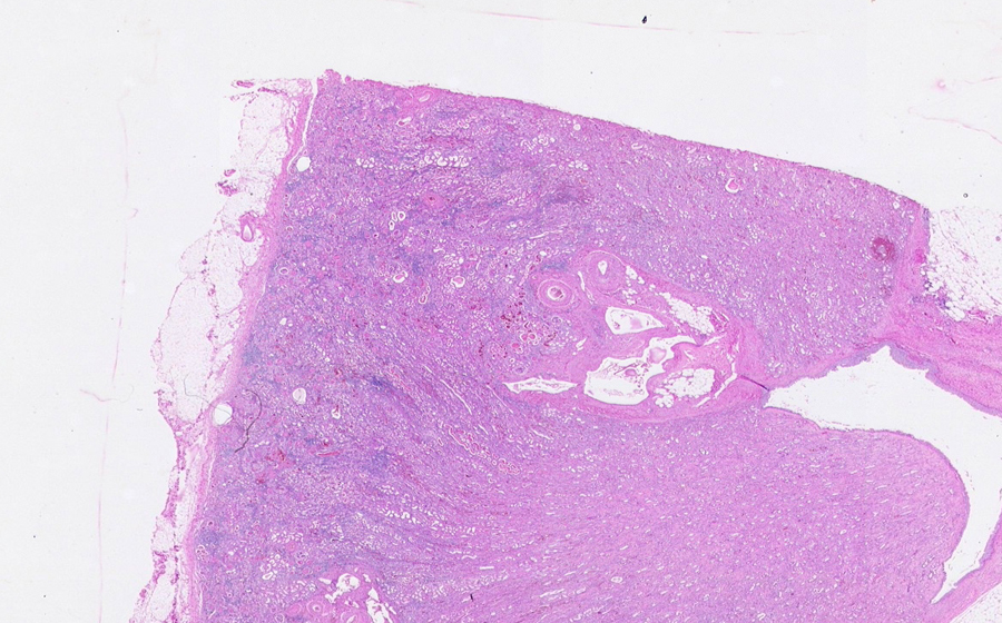
Image 1 - 6.3X
Slide 3 - Image 1
WED - DP017

Image 2 - 12.5X
Slide 3 - Image 2

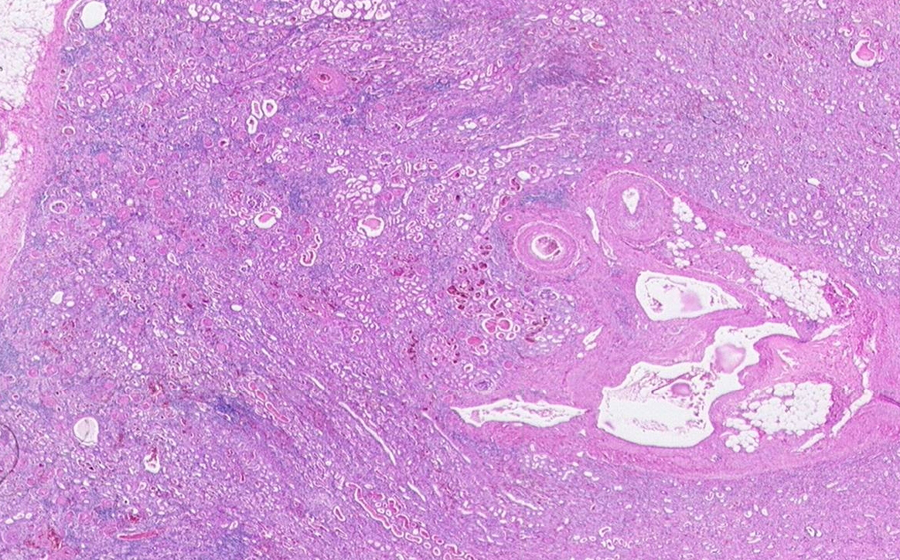
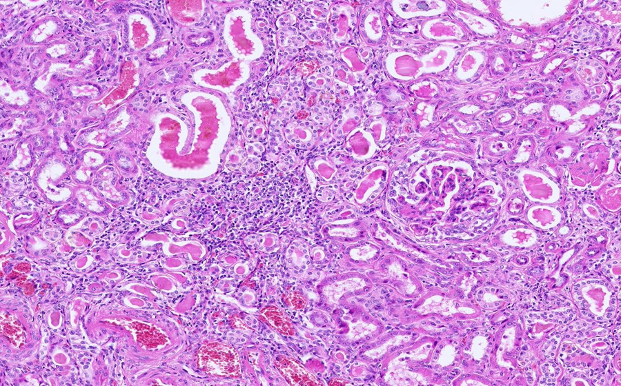
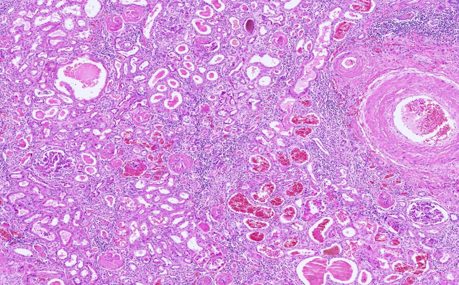
Image 3 - 50X
Slide 3 - Image 3

Image 4 - 100X
Slide 3 - Image 4

Image 5 - 200X
Slide 3 - Image 5

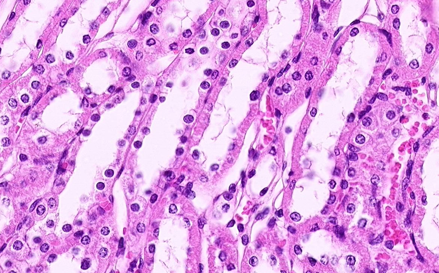
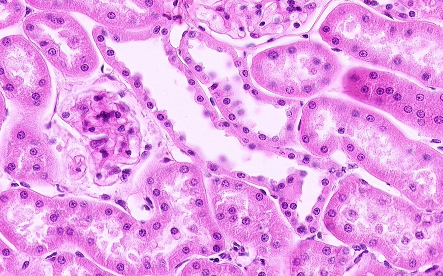
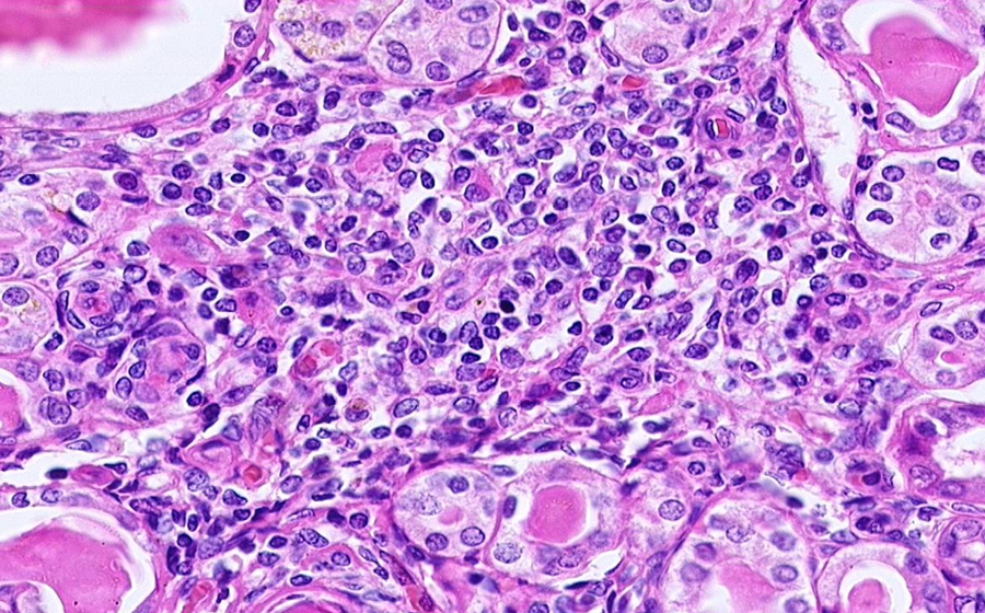
Image 6 - 400X
Slide 3 - Image 6

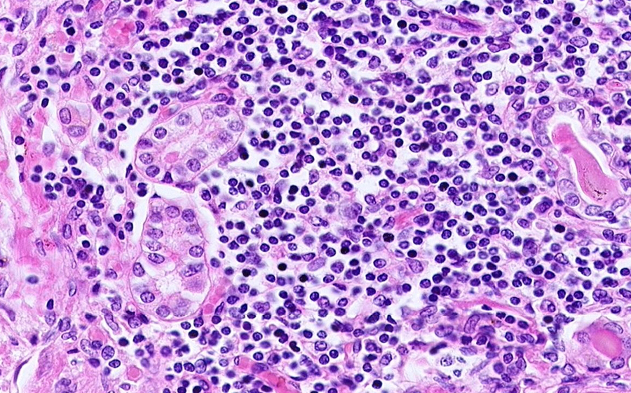
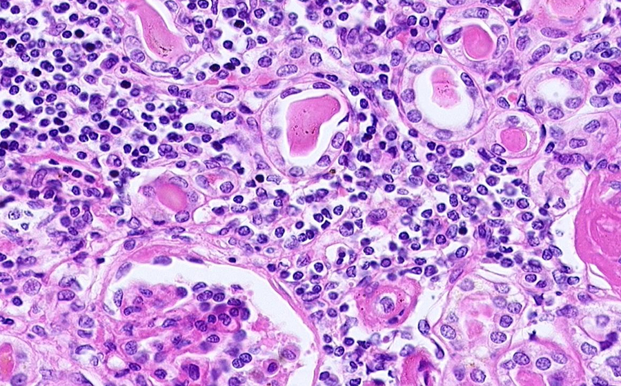
Image 7 - 400X
Slide 3 - Image 7

Image 8 - 100X
Slide 3 - Image 8

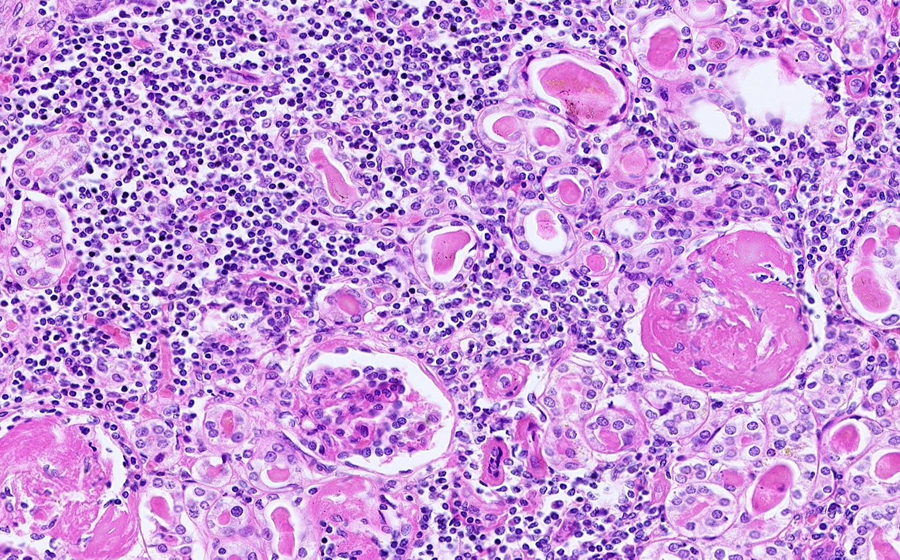
Image 9 - 200X
Slide 3 - Image 9

Image 10 - 400X
Slide 3 - Image 10

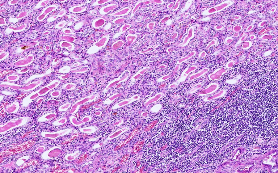
Image 11 - 100X
Slide 3 - Image 11

Image 12 - 200X
Slide 3 - Image 12

Image 13 - 400X
Slide 3 - Image 13

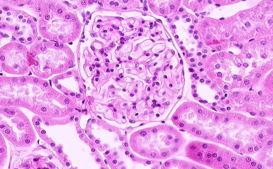
Section of a normal kidney

Normal image 1 - 400X
Normal Image 1
WED - LH0150

Normal image 2 - 400X
Normal Image 2

Normal image 3 - 200X
Normal Image 3

Normal image 4 - 400X
Normal Image 4

Normal image 5 - 200X
Normal Image 5

Normal image 6 - 400X
Normal Image 6

End of Slide 3