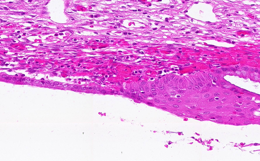
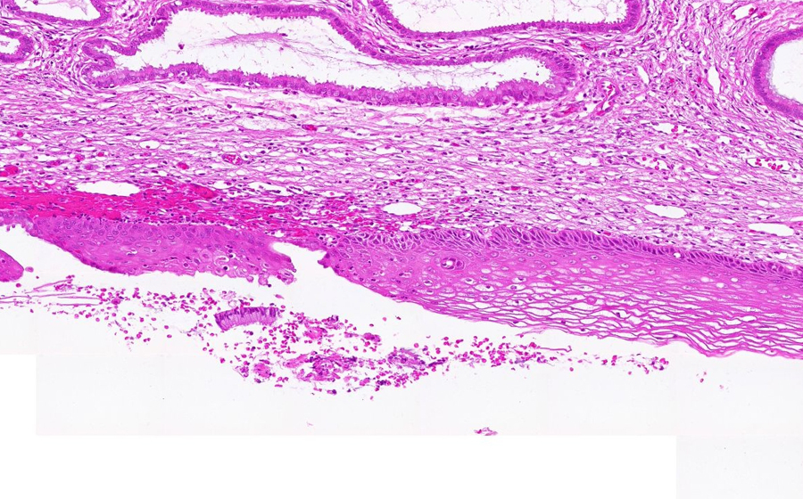
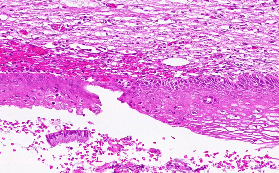
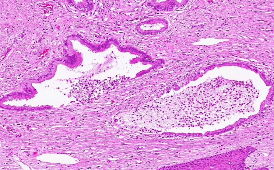
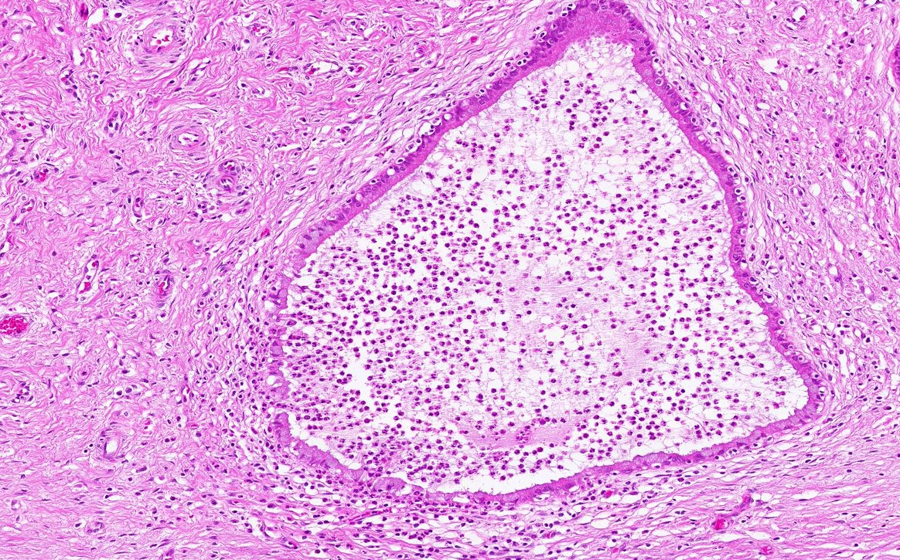
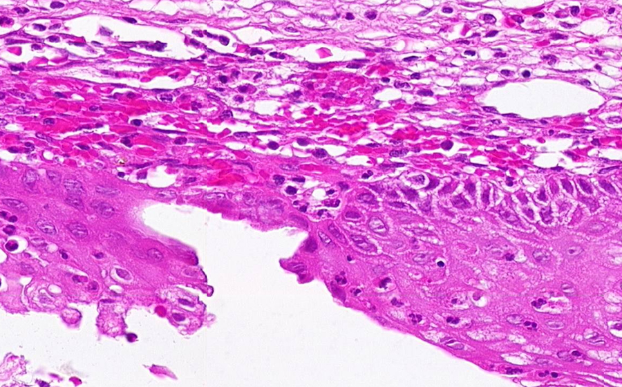
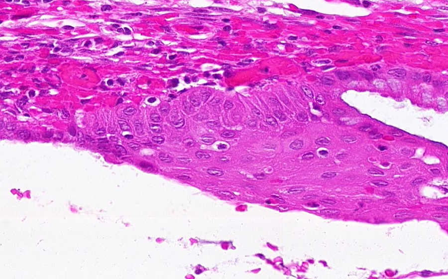
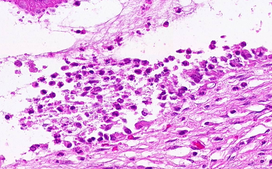
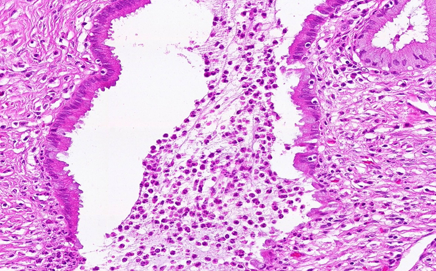
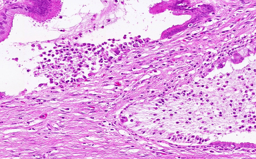
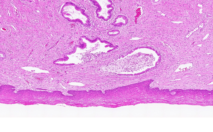
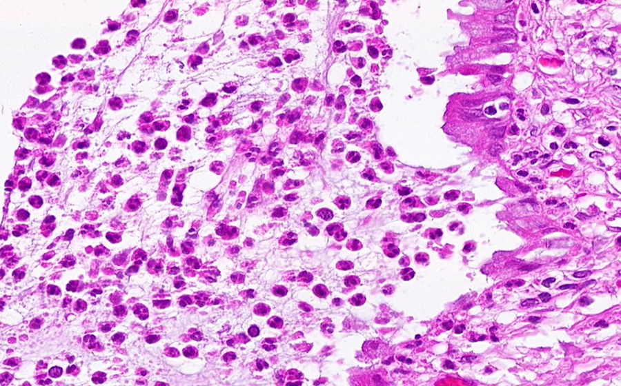
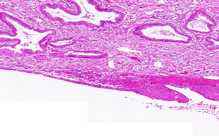
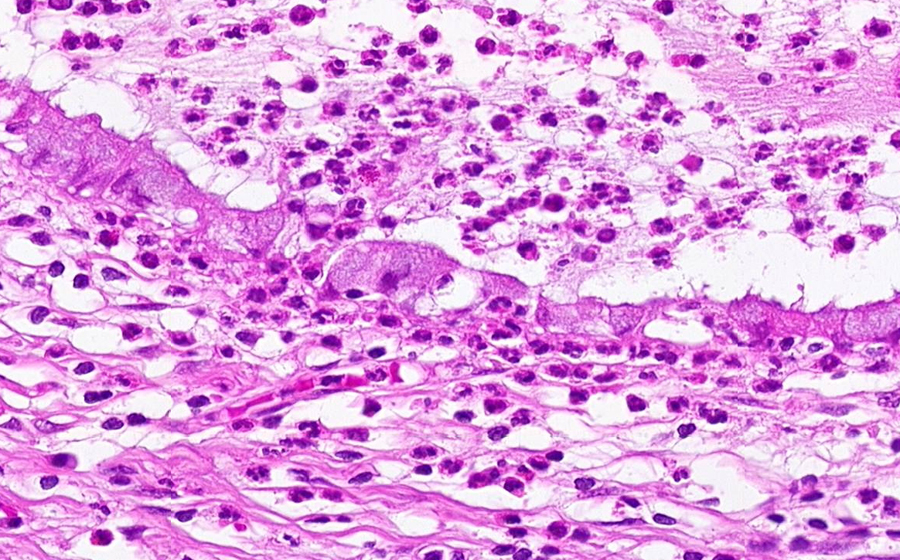
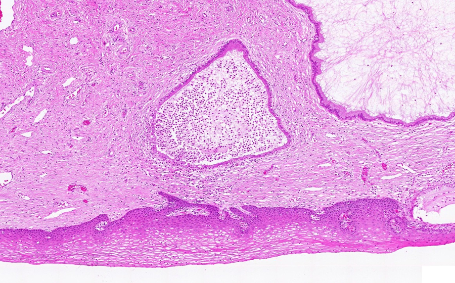
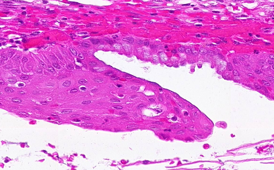
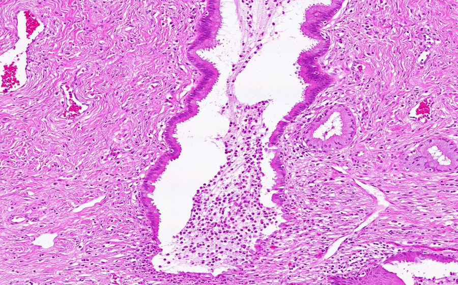
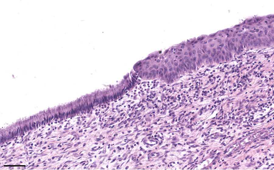
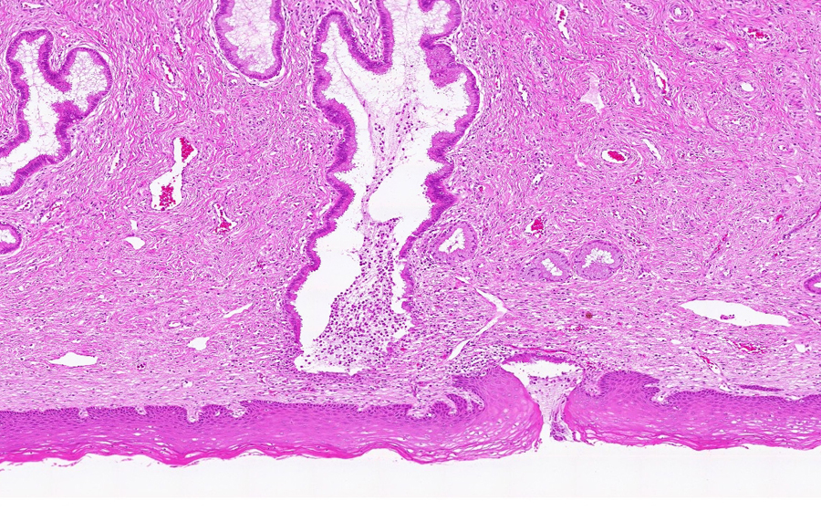
Slide 3: Chronic cervicitis and metaplasia

Histologic section of cervix from a patient with chronic cervicitis (click here to review normal tissue)

Image 1 - 3.1X
Slide 3 - Image 1
WED - HD017

Image 2 - 50X
Slide 3 - Image 2

Image 3 - 100X
Slide 3 - Image 3

Image 4 - 200X
Slide 3 - Image 4

Image 5 - 400X
Slide 3 - Image 5

Image 6 - 400X
Slide 3 - Image 6

Image 7 - 400X
Slide 3 - Image 7

Image 8 - 100X
Slide 3 - Image 8

Image 9 - 200X
Slide 3 - Image 9

Image 10 - 400X
Slide 3 - Image 10

Image 11 - 50X
Slide 3 - Image 11

Image 12 - 100X
Slide 3 - Image 12

Image 13 - 200X
Slide 3 - Image 13

Image 14 - 400X
Slide 3 - Image 14

Image 15 - 50X
Slide 3 - Image 15

Image 16 - 100X
Slide 3 - Image 16

Image 17 - 200X
Slide 3 - Image 17

Image 18 - 400X
Slide 3 - Image 18

Image 19 - 50X
Slide 3 - Image 19

Image 20 - 100X
Slide 3 - Image 20

Image 21 - 200X
Slide 3 - Image 21

Image 22 - 400X
Slide 3 - Image 22

Section of normal cervix

Normal image 1 - 50X
Normal Slide - Image 1
University of Iowa Virtual Slidebox: http://biolucida.net/

End of Slide 3