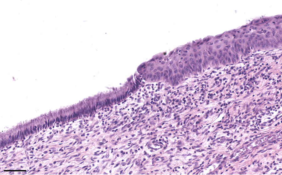
Image 22: Cervix - squamous cell carcinoma

Histologic section of cervix from a patient with cervical squamous cell carcinoma.

Cervix - squamous cell carcinoma
PEIR - FEM010

Sections of normal cervix

Normal Image 22
Cervix Iowa