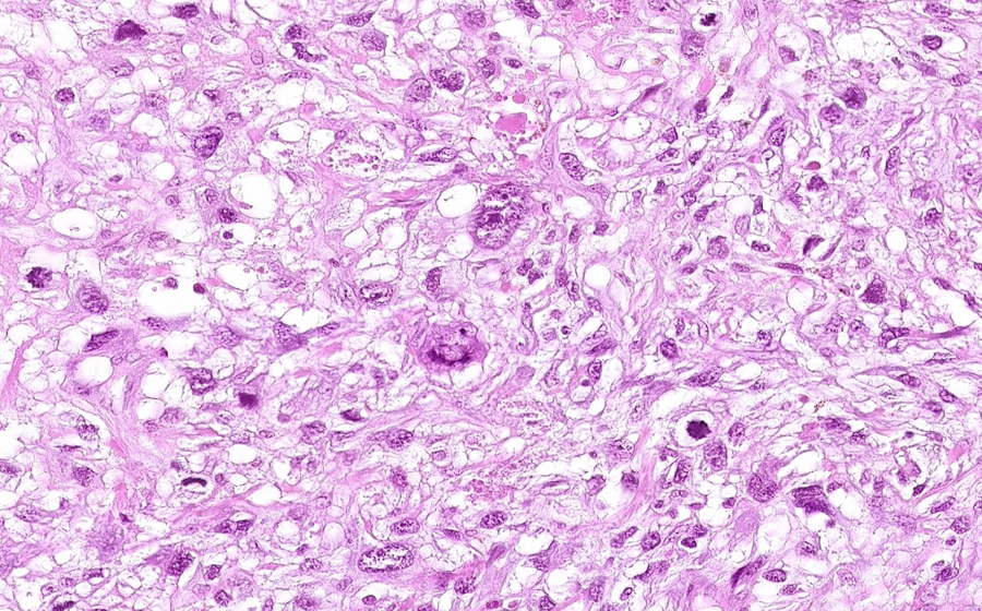
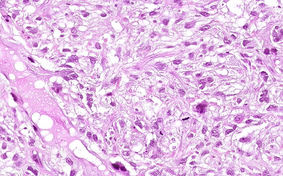
Slide 5: Liposarcoma

Histologic section of a liposarcoma. (click here to review normal tissue)

Image 1 - 50X
Slide 5 - Image 1
WED - RP00295

Image 2 - 50X
Slide 5 - Image 2

Image 3 - 100X
Slide 5 - Image 3

Image 4 - 100X
Slide 5 - Image 4

Image 5 - 100X
Slide 5 - Image 5

Image 6 - 200X
Slide 5 - Image 6

Image 7 - 400X
Slide 5 - Image 7

Image 8 - 200X
Slide 5 - Image 8

Image 9 - 400X
Slide 5 - Image 9

Image 10 - 200X
Slide 5 - Image 10

Image 11 - 400X
Slide 5 - Image 11

Image 12 - 200X
Slide 5 - Image 12

Image 13 - 400X
Slide 5 - Image 13

Image 14 - 400X
Slide 5 - Image 14

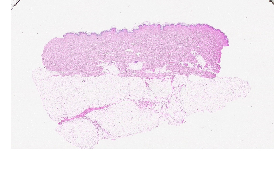
Section of normal scalp

Normal image 1 - 6.3X
Normal Image 1
WED - SK1

Normal image 2 - 100X
Normal Image 2

Normal image 3 - 200X
Normal Image 3

End of Slide 5