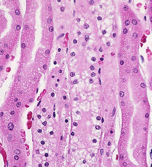
Image 9: Renal tubular epithelium - cell swelling

Histologic section of kidney from a patient with acute renal failure.

Cell swelling - renal tubular epithelium

Patterson